Real-World Results with OraGen®

Explore how OraGen is delivering predictable bone regeneration in challenging dental procedures.

Case Report: 1

Vertical Ridge Height Achievement

Case performed by: Dr. Edgard El Chaar, New York, NY

OraGen Case Study Images_Landing Page_01

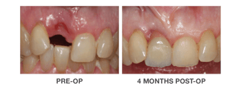
Case Report: 2

Horizontal Ridge Achievement

Case performed by: Dr. Edgard El Chaar, New York, NY

OraGen Case Study Images_Landing Page_02

Case Report: 3

Vertical & Horizontal Augmentation

Case performed by: Dr. Robert Miller, Plantation FL

OraGen Case Study Images_Landing Page_03

Why You’ll Love OraGen®

Backed by over a decade of success in spinal fusion procedures, OraGen is now available for oral surgery through Salvin Dental. OraGen’s clinically proven effectiveness in promoting strong, stable bone regeneration provides periodontists and oral surgeons with a reliable, advanced bone grafting solution.1-4 

check mark iconVersatility for Multiple Procedures

Its advanced composition ensures reliable, predictable outcomes — even in complex cases.1-4

check mark iconViable Bone to Support Implant Placement

The dense, new bone formed by OraGen provides a stable foundation to support implant placement and integrates with the native bone.1-4

check mark iconUncompromising Safety and Shelf Life

Its 12-month shelf life in frozen storage means you’ll always have trusted graft material ready when your patients need it. Also available to ship overnight in a 96-hour validated shipping container allowing you to use within 72 hours of receipt.

Salvin mp4

 

Video preview

 

“It’s super amazing. We’re very, very excited and I think we’re going to start to see amazing results and really good vital bone without the need for autogenous harvesting.”

Shaun R. Young, D.M.D.
Explaining how he successfully utilized OraGen® in the treatment of a patient with three prior graft failures

Join leading practices delivering optimized patient outcomes with OraGen®.

At Salvin Dental, our team of industry experts are dedicated to providing you with the professional support, surgical guidance and top-tier customer service you expect. As a trusted provider of high-quality regenerative materials and specialized surgical instrumentation, Salvin Dental makes it easy to streamline your ordering process while ensuring you’re using one of the best bone grafting options on the market. We’re in business to make your lives easier and improve your surgical outcomes.

We’re in business to make your lives easier and improve your surgical outcomes.
Contact Salvin — we’ll take great care of you!

Close icon

Discover The Future of Bone Regeneration

Watch the OraGen® Mastermind Series – Session #4

Missed the live session?

The recording of our OraGen Webinar Mastermind Series is now available.

OraGen®: A Powerful Cellular Bone Matrix For Predictable Regeneration In Complex Defects

This webinar explores the clinical application of OraGen, a cryopreserved, cellular bone matrix, with a focus on biologic principles and clinical applications. We know that autogenous bone is the gold standard due to its osteogenic, osteoinductive and osteoconductive properties.

This is the first cellular bone allograft of its kind, which also possesses those same powerful qualities, without the need for autogenous harvest. Several cases will be shown that demonstrate the powerful bone regeneration in some of the most complex ridge defects.

Want to attend live next time?
Registration for the next session opens soon.
Stay tuned for updates and be the first to reserve your spot.

Dr. Shaun Young


Shaun R. Young, DMD

FREE Cryo Freezer with OraGen® Subscription

Get Consistent Product Delivery Plus a $7,000 Freezer at No Cost

HOW IT WORKS:
When you enroll in the OraGen Subscription Program, you'll receive:
• One Stirling ULT25NEU Ultracold Freezer*
• A $7,000 value, at NO COST

In return, you commit to:
• Purchasing 6 units of OraGen (1.3 cc) every month for 12 months

READY TO SUBSCRIBE OR HAVE QUESTIONS?
Give us a call at 800-535-6566 or contact your Salvin Sales Representative directly.

*One Freezer Per Customer – Each subscriber is eligible to receive one (1) freezer as part of the subscription program.

Freezer image

Compact Size: 27.3 (L) x 13.8 (W) x 18.1 (D)